The ARIETTA 750 has many advanced and unique probes that fully cover the expanding range of procedures that benefit from ultrasound guidance.
See All Transducers
Contrast-specific software is supported for use with contrast agents used with acoustic pressures from low to mid Ml. This is compatible with various transducers.

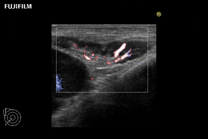
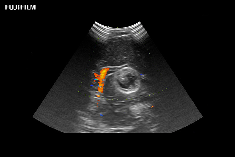
DFI is a new imaging technology for visualization of low velocity blood flow with greater resolution and sensitivity below the previous detection threshold.

eFocusing is a transmission and reception technology to achieve clarity of imaging from near to far field. Reduced focus dependency and patient dependency.

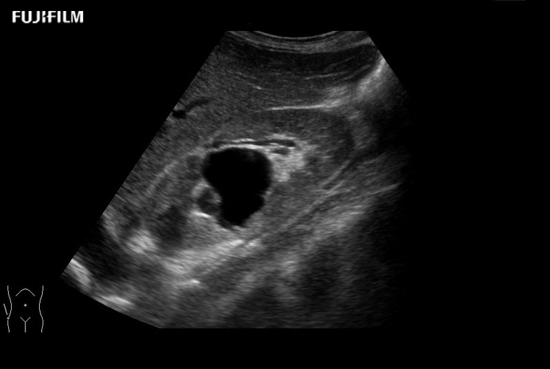
Use of trapezoid mode with a linear transducer extends the width of the field of view permitting a greater understanding of the orientation and size of the target and its surroundings.

Provides clearer delineation between tissue and blood flow compared to conventional Color Doppler. Even low velocity flow can be imaged with high sensitivity.

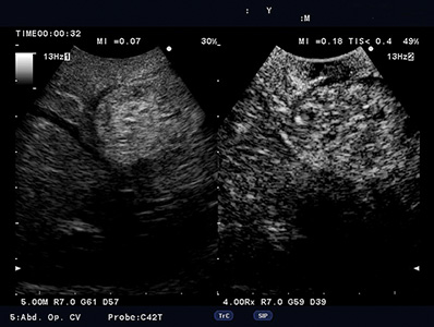
Real-time B- and Color Flow modes can be displayed side-by-side, offering an easier anatomical interpretation of blood flow.

Designed to provide maximum simplicity, user efficiency, and portability. From its compact footprint to its intuitive, time-saving user interface, the ARIETTA 750 was engineered for the increasing workloads of today’s busy surgical environments.


Ergonomics
Tilt, swivel, and height adjustable. Designed specifically for the OR.

Protocol Assistant
Prior fixed examination protocols and imaging conditions can be registered. Button operations can be reduced significantly to help support efficiency in the operating room.

Efficient Workflow
Start scanning with a single touch and automatically optimize the image with a single tap. The ARIETTA 750 is efficient and proficient.

LCD Monitor
With a high contrast ratio and wide viewing angle, the 23 inch FHD LCD monitor gives a rich representation of the display image.

Hygienic
Smooth surfaces for easy wipe-down. Compatible with commonly used disinfectants.

Mobility
Light weight, stable, and easy to move. Transport with ease from room-to-room.
State-of-the-art digital architecture and advanced imaging features to redefine the capabilities of surgical ultrasound.
This website uses cookies. By using this website you consent to our use of these cookies. For more information visit our Privacy Policy.
Got it