ARIETTA Precision

With the ARIETTA Precision the new vision for surgical ultrasound is here

Guidance is the fundamental purpose of all of our surgical ultrasound technology. Fujifilm Healthcare is committed to designing tools that help surgeons navigate inside the human body and provide the necessary information to immediately make critical surgical decisions.

ARIETTA Precision

Designed by surgeons… for surgeons

The ARIETTA Precision has many advanced and unique probes that fully cover the expanding range of procedures that benefit from ultrasound guidance.

transducers See All Transducers

Fit for the
Operating Room

The set-up of ARIETTA Precision can be customized to fit your OR needs.

Set-up 2

Cart + monitor + dual interactive tablet

The system can be operated directly through the touch panel monitor and/or remotely through the dual interactive tablet. Provides unprecedented flexibility for both the surgeon and staff.

Set-up 1

Cart + monitor

The system can be operated directly through the touch panel monitor. The simplest and most traditional operation of the system.

Set-up 3

Boom mounted monitor + dual interactive tablet

The touch panel monitor is boom-mounted and the system is operated through the dual interactive tablet. Provides the most freedom to work in open space.

Set-up 1

Cart + monitor

The system can be operated directly through the touch panel monitor. The simplest and most traditional operation of the system.

Set-up 2

Cart + monitor + dual interactive tablet

The system can be operated directly through the touch panel monitor and/or remotely through the dual interactive tablet. Provides unprecedented flexibility for both the surgeon and staff.

Set-up 3

Boom mounted monitor + dual interactive tablet

The touch panel monitor is boom-mounted and the system is operated through the dual interactive tablet. Provides the most freedom to work in open space.

State-of-the-art digital architecture and advanced imaging features

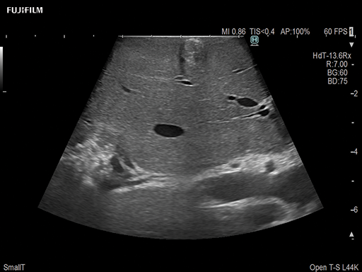
Liver Ablation Procedure using L44K

Linear array side-fire “T” transducer for open surgical procedures, providing exceptional near and far-field resolution.

Liver Ablation Procedure using L44K
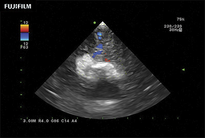
Liver Spectral Doppler using C22I

Curved array deep penetration “I” style finger-grip transducer for open kidney surgical procedures. Allows for palpating organs and scanning at the same time.

Liver Spectral Doppler using C22I
Liver Surgery Procedure using L46K1

Wide-view side-fire “T” transducer for open surgical procedures, providing exceptional near and far-field resolution, as well as trapezoid imaging to further expand visibility.

Liver Surgery Procedure using L46K1
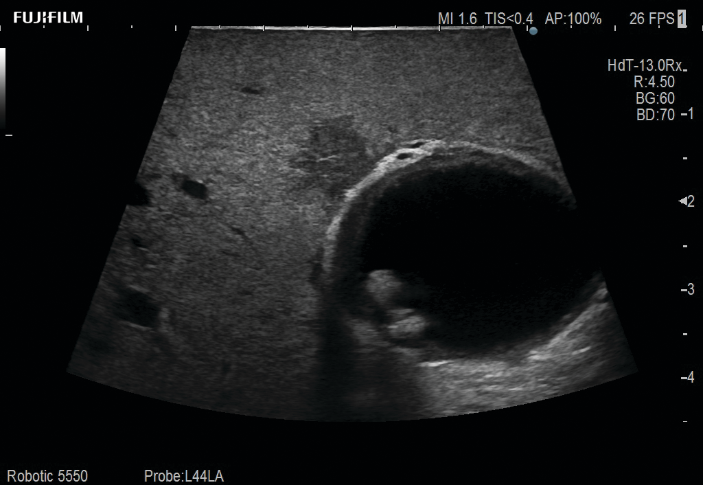
Laparoscopic Cholecystectomy and Hepatectomy using L44LA

Exclusive linear array 4-way laparoscopic transducer for better visualization of targeted lesions.

Laparoscopic Cholecystectomy and Hepatectomy using L44LA
Burr Hole Procedure using S31KP

The world’s only phased array burr-hole transducer that is ideal for scanning during burr-hole guidance procedures. It offers a unique bayonetted design & exceptional near and far-field resolution.

Burr Hole Procedure using S31KP
Pituitary Procedure using UST-5311

Exclusive 10mm side-fire linear array transducer with 2.87mm diameter is ideal for real-time visualization through and behind structures and instant, scalable definition of anatomy and vascularity including the ability to delineate and define tumor margins.

Pituitary Procedure using UST-5311
Subcortical Procedure using S12BP4

Subcortical guidance with precise access, improved efficiency and better results.

Subcortical Procedure using S12BP4
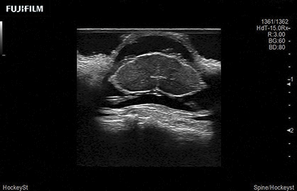
Spinal Procedure using L53K

Hockey-stick linear array transducer is the transducer of choice for spinal scanning, providing exceptional near and far-field resolution. Its low profile design lends itself perfectly to the spatial confines of spinal surgery.

Spinal Procedure using L53K

Features

Fujifilm Healthcare understands that surgeons demand excellence in their operating rooms — from their staff and the equipment they depend on.

ARIETTA Precision

Touch Panel Monitor

Pinch, Zoom, Tap, Swip, Drag & Drop. All familiar gestures that make surgical ultrasound navigation easier.

Efficient Workflow

Utilize the pre-set configurations, easy transducer selection, and optimized image allocation, all with the touch of just a few buttons.

VISIBILITY

Tilt, swivel and height-adjustable. Designed specifically for the OR.

PROGRAMMABLE PRESETS

Fully customizable presets for each user.

Hygienic

Smooth surfaces for easy wipe-down. Compatible with commonly used disinfectants.

Mobility

Easily moves from room to room, delivering real-time guidance effortlessly.

Imaging Clearly Defined

State-of-the-art digital architecture and advanced imaging features to redefine the capabilities of surgical ultrasound.

This website uses cookies. By using this website you consent to our use of these cookies. For more information visit our Privacy Policy.

Got it